249 จำนวนผู้เข้าชม |
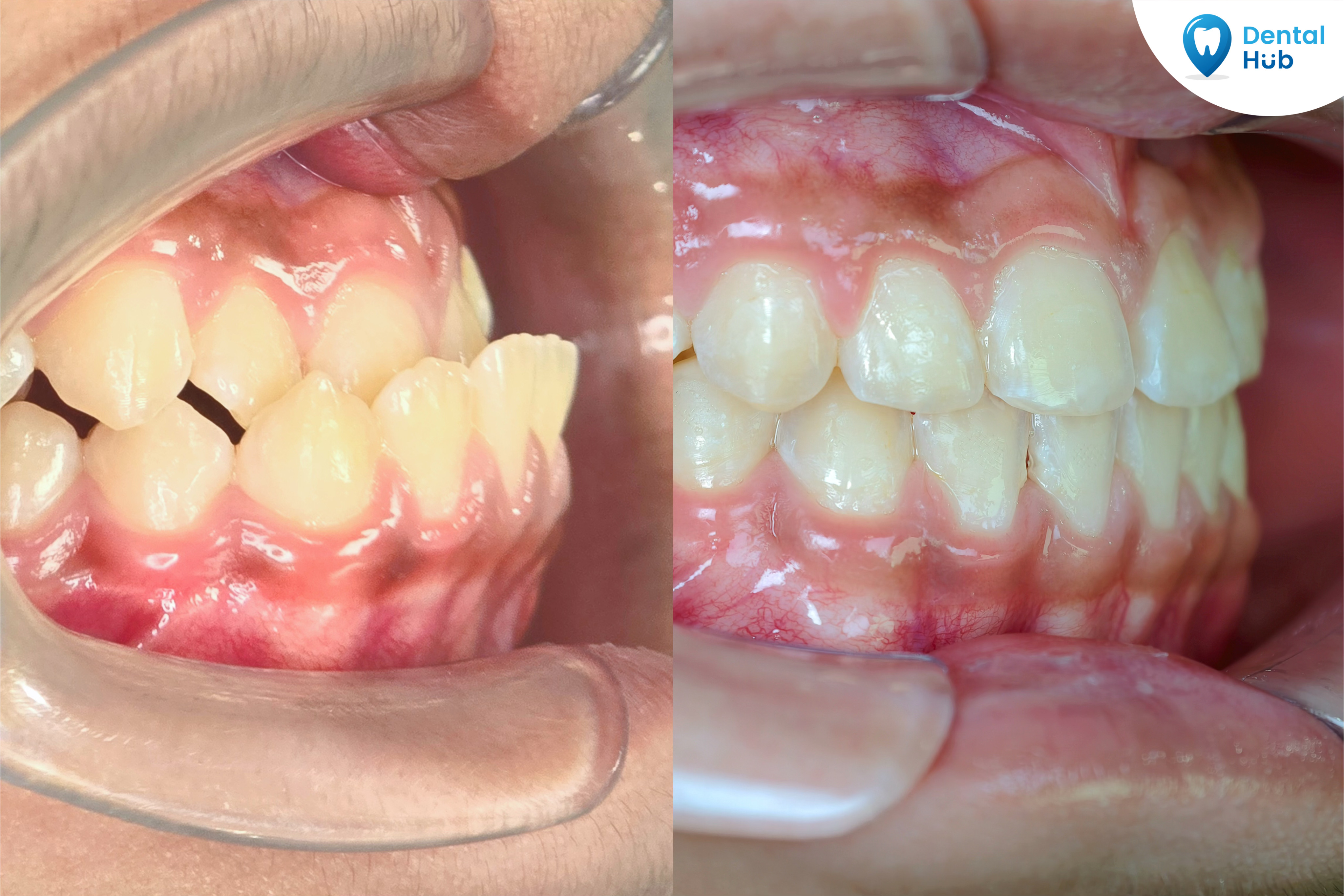
จัดฟันคร่อม 1 ปีแรก
เห็นความเปลี่ยนแปลงอย่างไรบ้าง?
ปัญหา ฟันหน้าคร่อม เป็นหนึ่งในสาเหตุที่ทำให้หลายคนขาดความมั่นใจเวลายิ้ม หรือพูดคุยในชีวิตประจำวัน หลายคนที่กำลังเริ่มจัดฟันมักสงสัยว่า “หลังจัดฟันไป 1 ปี จะเห็นความเปลี่ยนแปลงมากแค่ไหน?”

ฟันคร่อมคืออะไร?
ฟันคร่อม คือ ภาวะที่ฟันหน้าบนหรือฟันหน้าล่างซ้อนทับหรือคร่อมกันผิดตำแหน่ง ทำให้การสบฟันไม่สมดุล ส่งผลต่อ
✅ รูปลักษณ์ของรอยยิ้ม
✅ การสบและการเคี้ยวอาหาร
✅ ความสะอาดของฟัน (แปรงฟันยากขึ้น)
✅ ความมั่นใจในการพูดและยิ้ม
การจัดฟันเป็นวิธีที่ช่วยค่อย ๆ ปรับตำแหน่งฟันให้เรียงตัวอย่างเหมาะสมและปลอดภัย
ปีแรกของการจัดฟันคร่อมเปลี่ยนแปลงอย่างไร?
1–3 เดือนแรก เริ่มเห็นการขยับของฟัน
ช่วงแรกฟันจะเริ่มปรับตัวตามแรงของเครื่องมือจัดฟัน บางคนอาจสังเกตได้ว่าฟันเริ่มเรียงตัวดีขึ้นเล็กน้อย แม้การเปลี่ยนแปลงยังไม่ชัดมาก
สิ่งที่พบได้บ่อย
✅ ฟันเริ่มเคลื่อนเข้าสู่ตำแหน่งใหม่
✅ ความรู้สึกตึงหรือกดเล็กน้อย (เป็นเรื่องปกติ)

4–6 เดือน ฟันหน้าดูเรียงตัวมากขึ้น
ช่วงนี้หลายคนจะเริ่มเห็นความแตกต่างชัดขึ้น ฟันที่คร่อมกันเริ่มลดลง และแนวฟันดูเป็นระเบียบมากขึ้น
ผลลัพธ์ที่มักเห็น
✅ ฟันหน้าซ้อนลดลง
✅ รอยยิ้มดูสมดุลขึ้น
✅ ทำความสะอาดง่ายขึ้น
7–12 เดือน รูปแบบรอยยิ้มเริ่มชัดเจน
เมื่อเข้าสู่ปลายปีแรก การเคลื่อนฟันจะเริ่มเห็นผลชัดเจนมากขึ้น โดยเฉพาะบริเวณฟันหน้า
สิ่งที่หลายคนสังเกตได้
✅ ฟันหน้าคร่อมลดลงอย่างเห็นได้ชัด
✅ รอยยิ้มดูเรียงสวยขึ้น
✅ ใบหน้าดูสมดุลขึ้นในบางเคส
✅ ทั้งนี้ผลลัพธ์ขึ้นอยู่กับความซับซ้อนของเคสและการดูแลของแต่ละบุคคล


ปัจจัยที่ทำให้การรักษาเห็นผลดีในปีแรก
✅ มาพบทันตแพทย์ตามนัดสม่ำเสมอ
✅ ดูแลความสะอาดฟันและเครื่องมือจัดฟัน
✅ ใส่ยางหรืออุปกรณ์เสริมตามคำแนะนำ
✅ ปฏิบัติตามแผนการรักษาอย่างต่อเนื่อง
ฟันหน้าคร่อม ใช้เวลารักษานานแค่ไหน?
ระยะเวลาจัดฟันแตกต่างกันในแต่ละคน โดยทั่วไปอาจใช้เวลา 1.5 – 3 ปี ขึ้นอยู่กับลักษณะฟันและแผนการรักษา
อย่างไรก็ตาม ปีแรกถือเป็นช่วงสำคัญ ที่ช่วยให้ผู้เข้ารับการรักษาเห็นแนวโน้มของผลลัพธ์ และเพิ่มกำลังใจในการดูแลต่อเนื่อง
สอบถามข้อมูลได้ตลอดเวลา
คลินิกทันตกรรม เดนทัล ฮับ
สาขา หนองแขม และ สาขา บางแค
ดูแผนที่ด้านล่าง
มีที่จอดรถทั้ง 2 สาขา

