5173 จำนวนผู้เข้าชม |
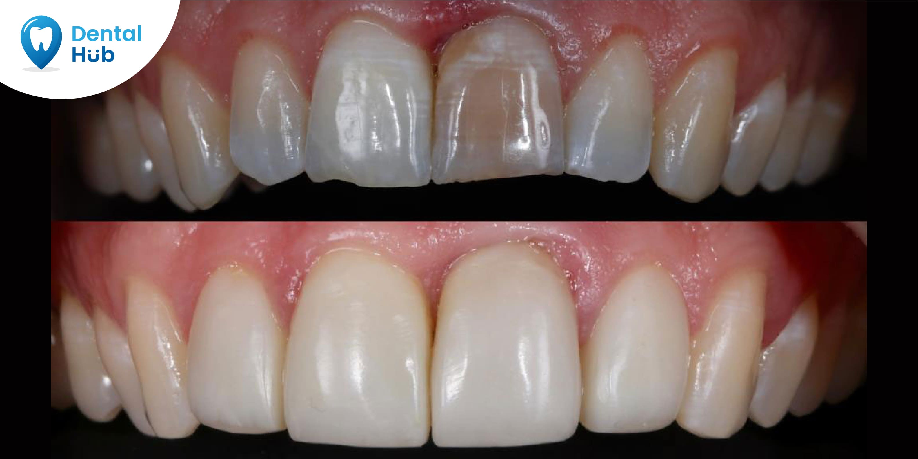
คอมโพสิตวีเนียร์เปลี่ยนฟันเหลืองให้ขาวสะอาด
คอมโพสิตวีเนียร์ คือ การสร้างรอยยิ้มใหม่ ด้วยวัสดุอุดสีเหมือนฟัน สร้างเนื้อของฟันขึ้นมาใหม่ ด้วยการเปลี่ยนผิวฟันเฉพาะด้านหน้า สามารถออกแบบให้ฟันได้ สั้น-ยาว ฟันกระต่ายหรือต้องการเขี้ยวฟันก็ย่อมได้ ทำให้รอยยิ้มของคุณสวยขึ้นอย่างชัดเจน เป็นอีกวิธีหนึ่งที่นิยมเนื่องจากใช้เวลาไม่นานและค่าใช้จ่ายถูกกว่า
ทางคลินิกมีโปรโมชั่นพิเศษ
เหลือเพียง 8 ซี่ 25,000 บาท
จากซี่ละ 4,000

ข้อดี
สามารถซ่อมแซมได้บางส่วน ในกรณีมีการแตกหัก
มีความสวยงามใกล้เคียงฟันธรรมชาติ
ในคนไข้บางเคสอาจไม่จำเป็นต้องกรอฟัน
สามารถทำเสร็จภายในครั้งเดียว
ค่าใช้จ่ายถูกกว่าเซรามิกวีเนียร์
ข้อเสีย
อายุการใช้งานต่ำกว่า
ความทนทานน้อยกว่าเซรามิก แตกหักได้ง่าย
หากใช้ไปนาน ๆ อาจทำให้เกิดคราบที่ผิวฟันได้
อาจมีการเปลี่ยนสีของตัวเคลือบฟันได้ เนื่องจากตัววัสดุสามารถดูดซับสีได้
สำหรับผู้สนใจวีเนียร์เซรามิก

โปรโมชั่นพิเศษ
ทำหลายซี่เหลือซี่ละ 10,000 บาท
สอบถามข้อมูลได้ตลอดเวลา
คลินิกทันตกรรม เดนทัล ฮับ
สาขา หนองแขม และ สาขา บางแค
ดูแผนที่ด้านล่าง
มีที่จอดรถทั้ง 2 สาขา

