14612 จำนวนผู้เข้าชม |
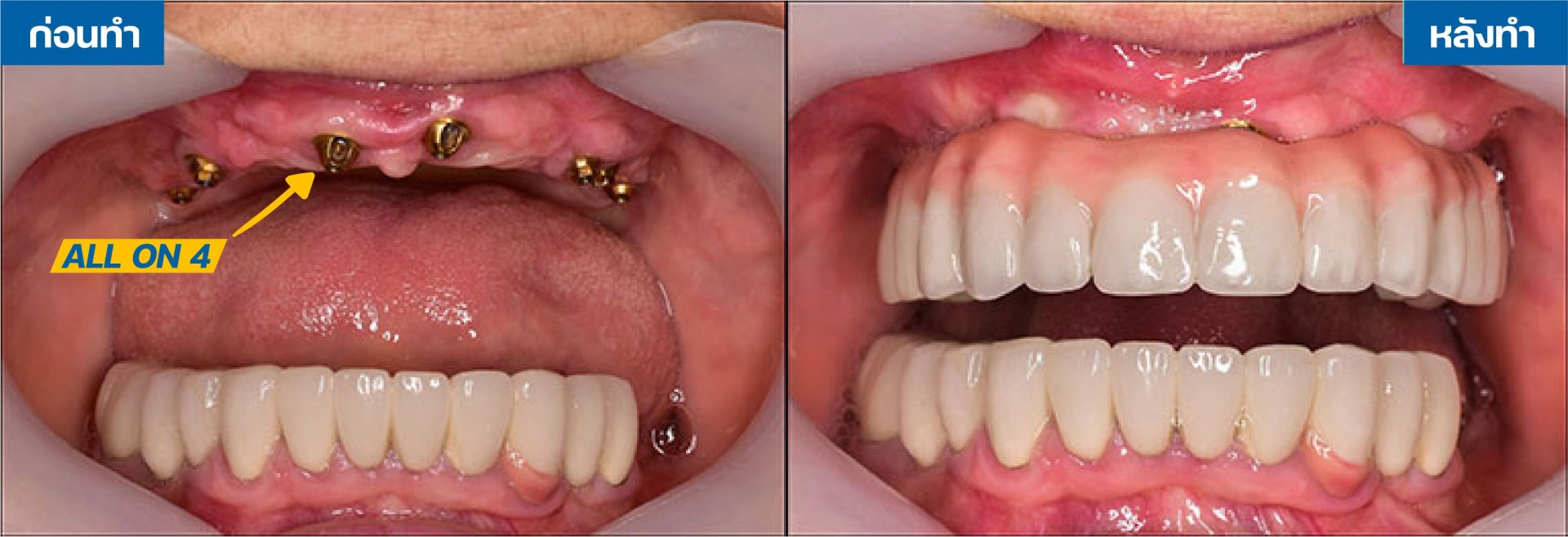
รากฟันเทียมทั้งปากแบบ All on 4
400,000บาท/ขากรรไกร
ใส่ฟันทั้งปากแบบติดแน่นชนิดเซรามิกพยุงด้วยรากเทียม 4 ตัว ไม่ต้องถอดเข้าออก ไม่มีเพดานให้รำคาญ บางเคสสามารถเสร็จมีฟันพร้อมยิ้ม ภายใน 3 วัน


คำถามที่พบบ่อย

ขั้นตอนการรักษา และชำระ all on 4
1. ตรวจปรึกษาและวางแผนการรักษาเบื้องต้น ชำระ ไม่เกิน 5000 บาท
2. ฟังแผนการรักษาโดยละเอียด เตรียมคนไข้และฟันปลอมเพื่อใส่หลังฝังรากเทียม ชำระ 50,000 บาท
3. ฝังรากฟันเทียมและใส่ฟันชั่วคราว ชำระ 100,000 บาท
4. ติดตามการรักษา ไม่มีค่าใช้จ่าย
5. ทำฟันเซรามิกชุดถาวร ผ่อนชำระ 50,000 บาท ต่อครั้งจนครบยอด

ข้อดีของ all on 4
ได้ฟันแบบติดแน่น สวยงาม แข็งแรง
ใส่ฟันได้เร็วกว่ารากฟันเทียมปกติ
ข้อเสีย all on 4
ค่าใช้จ่ายสูงเนื่องจากวัสดุและอุปกรณ์ทำมาเฉพาะตัวสำหรับคนไข้แต่ละคน
การรักษาซับซ้อน มีคุณหมอไม่กี่ท่านในประเทศที่รับทำเคสรูปแบบนี้
รีวิวฟันปลอมติดแน่นชนิด all on 4 ไม่ต้องถอด เสมือนฟันจริง
สอบถามข้อมูลได้ตลอดเวลา
คลินิกทันตกรรม เดนทัล ฮับ
สาขา หนองแขม และ สาขา บางแค
ดูแผนที่ด้านล่าง
มีที่จอดรถทั้ง 2 สาขา

