1143 จำนวนผู้เข้าชม |
วีเนียร์เคล็ดลับฟันสวยของดารา
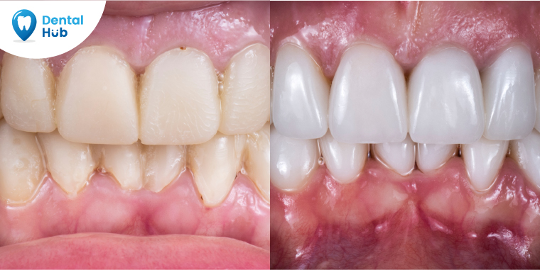
การทำวีเนียร์(เรซิน) คืออะไร?

การติดแผ่นวัสดุสีเหมือนฟันที่มีความบางบนผิวหน้าของฟันเพื่อแก้ไขปัญหาการเรียงตัวไม่เป็นระเบียบ มีสีเหลืองหม่น แตกหัก ฟันบิ่น ฯลฯ การทำวีเนียร์จะช่วยให้มีสีและขนาดที่สวยงาม เป็นที่นิยมมาก ในหมู่ดารา นักร้อง นักแสดง นางแบบและนางงาม

ฟันสวยวันนี้!
โปรโมชั่น 8 ซี่บน ราคาพิเศษเพียง 25000 บาท
จากปกติ 32000 บาท
ผ่อนได้ สองงวด
วีเนียร์อยู่ได้นานแค่ไหน?
ตอบ การติดตั้งวีเนียร์ที่ได้มาตรฐานมีอายุอยู่ได้นานมากกว่า 10-15 ปี บวกกับการหมั่นดูเเลสุขภาพฟันคนไข้ และเลือกทำกับทันตแพทย์ผู้ให้การรักษาที่มีความเชี่ยวชาญการทำวีเนียร์โดยเฉพาะ
วิธีการดูแลรักษาหลังทำวีเนียร์?
ตอบ
ควรทำความสะอาดด้วยการแปรงฟันและใช้ไหมขัดฟันวันละ 2 ครั้ง
บ้วนปากด้วยน้ำยาผสมฟลูออไรด์ทุกวันก่อนนอน
ระวังการเคี้ยวของแข็ง
พบทันตแพทย์เป็นประจำทุก 6 เดือน
ทำวีเนียร์ที่ไหนดี?
ตอบ ที่คลินิกทันตกรรมเดนทัลฮับ ทันตกรรมด้านความงามครบวงจร พร้อมให้บริการด้วยความเป็นมืออาชีพมั่นใจได้เลยว่า การทำวีเนียร์จะได้รับการดูแลจากทันตแพทย์มืออาชีพ พร้อมอุปกรณ์ที่ทันสมัยที่สุด จำเป็นต้องอาศัยฝีมือทันตแพทย์ผู้เชี่ยวชาญให้การรักษา เพราะเป็นชิ้นงานการออกแบบที่ติดตัวคนไข้ตลอดไป

สอบถามข้อมูลได้ตลอดเวลา
คลินิกทันตกรรม เดนทัล ฮับ
สาขา หนองแขม และ สาขา บางแค
ดูแผนที่ด้านล่าง
มีที่จอดรถทั้ง 2 สาขา

